Chuyên gia cảnh báo nguy cơ đột quỵ do hút shisha
(VietQ.vn) - Mới đây, các bác sĩ Bệnh viện Nhân dân 115 Thành phố Hồ Chí Minh đã cứu sống một trường hợp đột quỵ do hút shisha trong thời gian dài.
Thu hồi ngũ cốc Chocolate Crunch Granola do nguy cơ nhiễm côn trùng
Việt Nam đối mặt với những thách thức nghiêm trọng về an ninh mạng
Công ty Island Oak Việt Nam hoạt động không có giấy phép môi trường
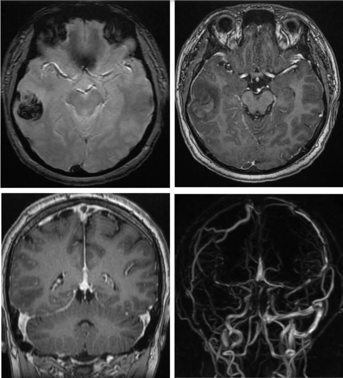
Phó Giáo sư, Tiến sĩ, bác sĩ Nguyễn Huy Thắng, Phó Chủ tịch Hội Đột quỵ Việt Nam, Trưởng Khoa Bệnh lý mạch máu não, Bệnh viện Nhân dân 115 Thành phố Hồ Chí Minh cho biết, nam thanh niên 22 tuổi, quê Cà Mau nhập viện trong tình trạng đau đầu dữ dội. Hình ảnh chụp CT scan cho thấy, bệnh nhân bị xuất huyết não.
Khi khảo sát thêm bằng cộng hưởng từ, các bác sĩ ghi nhận có huyết khối tại nhiều vị trí trong hệ thống tĩnh mạch não. Tìm hiểu kỹ về bệnh sử, người bệnh có thói quen hút shisha thường xuyên và ngày càng tăng dần trong suốt một năm qua. Sau khi được chẩn đoán và điều trị kịp thời, các bác sĩ đã giúp người bệnh hồi phục hoàn toàn.
Theo bác sĩ Nguyễn Huy Thắng, hút shisha làm tăng nguy cơ tạo huyết khối bởi trong khói shisha chứa nicotine và carbon monoxide (CO). Nicotine kích thích giải phóng các yếu tố đông máu, làm máu dễ đông hơn (trạng thái tăng đông). Còn CO làm giảm oxy trong máu, gây stress cho hệ tuần hoàn và thúc đẩy hình thành cục máu đông.
Theo nghiên cứu từ Tổ chức Y tế thế giới (WHO), một buổi hút shisha (khoảng 1 giờ) khiến người dùng hít lượng CO gấp 9 lần và nicotine gấp 1,7 lần so với một điếu thuốc lá.
Bên cạnh đó, các chất độc trong khói shisha như kim loại nặng (chì, cadmium) và hợp chất hữu cơ độc hại, gây viêm, tổn thương nội mạc tĩnh mạch. Thành mạch bị tổn thương là nơi lý tưởng để cục máu đông bám vào và phát triển. Hút shisha thường diễn ra trong thời gian dài và ở tư thế ngồi, ít vận động làm chậm lưu thông máu, đặc biệt ở tĩnh mạch chân, tạo điều kiện cho huyết khối hình thành. Đây là yếu tố quan trọng trong “tam giác Virchow” (tăng đông, tổn thương mạch, ứ trệ máu).
Trước đó, Tổ chức Y tế Thế giới (WHO) và Trung tâm Kiểm soát và Phòng ngừa Dịch bệnh Hoa Kỳ (CDC) đã cảnh báo shisha gây hại cho hệ tim mạch tương tự hoặc hơn thuốc lá, bao gồm nguy cơ huyết khối.
Hình ảnh não của nam thanh niên bị xuất huyết. (Ảnh: BSCC).
Tại Việt Nam, số trường hợp ngộ độc do sử dụng thuốc lá điện tử đã được ghi nhận ở nhiều tỉnh, thành phố. Đáng chú ý, hầu hết các trường hợp xảy ra ở lứa tuổi học sinh, trong đó có cả nữ giới.
ThS.BS Nguyễn Thị An - Giám đốc Tổ chức HealthBridge Canada tại Việt Nam cảnh báo, các tổ chức sản xuất, buôn bán thuốc lá điện tử, thuốc lá nung nóng đang có những chiến lược, cách thức thu hút nhắm thẳng vào giới trẻ.
"Các chiến lược thường tập trung vào việc sản xuất các sản phẩm với hình thức đẹp, bắt mắt dễ hấp dẫn trẻ em như: hình cái bút, hình thỏi son, dán các hình hoạt hình ngộ nghĩnh… vào các sản phẩm. Họ tạo ra nhiều loại hương vị mà trẻ em yêu thích như: hương vị xoài, táo, chanh leo… để thu hút trẻ. Ngoài ra, họ cũng thường sử dụng hình ảnh những người nổi tiếng, những người mà giới trẻ thần tượng để quảng cáo sản phẩm, bán hàng" - BS. An nói.
Theo các chuyên gia, các sản phẩm thuốc lá mới còn có nguy cơ cao tiềm ẩn và phát sinh các tệ nạn xã hội, nhất là sử dụng ma túy và các chất gây nghiện đồng thời với thuốc lá điện tử, thuốc lá nung nóng, ảnh hưởng đến sức khỏe, an ninh trật tự xã hội.
Thuốc lá điện tử sử dụng nhiều hương liệu, hóa chất nên có thể bị lợi dụng để sử dụng ma túy thông qua việc phối trộn. Người sử dụng có thể tự ý tăng tỷ lệ nicotine quá mức hoặc thêm ma túy và các chất gây nghiện khác vào để sử dụng mà khó bị phát hiện.
Một số khảo sát trong cộng đồng sử dụng thuốc lá điện tử cho thấy rõ ràng về mối liên quan giữa sử dụng thuốc lá điện tử với các tệ nạn xã hội khác như ma túy, hút shisha và các chất gây nghiện khác. Pha trộn ma túy vào dung dịch điện tử (Cannabis và Marijuana) đã được ghi nhận ở Trung tâm Chống độc, Bệnh viện Bạch Mai và Trung tâm Giám định ma túy Viện Khoa học hình sự - Bộ Công an. Những hệ lụy này ảnh hưởng xấu đến sức khỏe, môi trường, lối sống, hành vi của giới trẻ.
Thanh Hiền (t/h)










