Năng suất Chất lượng
Chất lượng sống
Hệ tiện ích ‘all in one’ và kỳ nghỉ 'bất tận' của cư dân Blanca 6, 7
(VietQ.vn) - Nằm tại trung tâm Blanca City, chỉ cách biển Bãi Sau “vài bước chân”, 2 tòa tháp Blanca 6 và 7 không chỉ sở hữu tầm nhìn hai phía biển đắt giá mà còn mở ra không gian sống hiện đại, kết nối cộng đồng cư dân với chuỗi tiện ích đẳng cấp trong đại đô thị lớn bậc nhất Vũng Tàu.
-
Những công việc thu nhập tốt ngày Tết
Những nẻo đường mùa xuân
Xem hướng xuất hành đầu năm 2020 tốt nhất cho gia chủ bình an, may mắn
Những nguyên tắc ‘vàng’ phòng tránh ngộ độc ngày Tết
Bà chủ công ty triệu đô và chuyện từng đổ rác, dọn bàn ở quán cafe
Những trải nghiệm Tết khác biệt hút khách đầu năm
Bật mí chuỗi hoạt động Tết hấp dẫn tại hệ thống nghỉ dưỡng FLC Hotels & Resorts
Tin mới Chất lượng sống 24h
Top 5 món quà đặc sắc nhất định phải mang về khi đi du lịch Macao
(VietQ.vn) - Macao không chỉ nổi tiếng với những sòng bạc “khủng” mà còn được biết đến là điểm du lịch đông tây hội ngộ vì sự pha trộn hài hòa giữa các nét Á Đông của văn hóa Trung Quốc với phong cách châu Âu do từng là thuộc địa của Bồ Đào Nha.
Nguy cơ dị ứng các loại hạt ngày Tết
(VietQ.vn) - Theo các bác sĩ, rất nhiều loại hạt như hạt dẻ, hạt điều, hạnh nhân, óc chó, hạt dẻ cười, hạt thông… được chị em "săn lùng" mua để thưởng thức và đãi khách dịp Tết, tuy nhiên một số loại hạt lại có nguy cơ dị ứng.
Theo dấu mùa hoa anh đào và tulip ngày Xuân
(VietQ.vn) - Tháng 3 và tháng 4 hàng năm, lễ hội hoa anh đào và hoa tulip lại quay trở về, làm say lòng biết bao con tim say mê cái đẹp. Hãy cùng Vietravel theo dấu những địa điểm thưởng hoa anh đào và tulip đẹp tuyệt diệu trên khắp thế giới
Hành trình 12 năm và 35 triệu ly sữa cho trẻ em trên khắp Việt Nam
(VietQ.vn) - Năm 2019 là năm thứ 12 trong hành trình trao tặng hơn 35 triệu ly sữa cho trẻ có hoàn cảnh khó khăn trên mọi miền đất nước của Quỹ sữa Vươn Cao Việt Nam và Vinamilk. Từ khi mới bắt đầu thành lập, Quỹ sữa Vươn Cao Việt Nam đã mang một sứ mệnh lớn là “Để mọi trẻ em đều được uống sữa mỗi ngày”, với mong muốn thế hệ tương lai của đất nước sẽ có cơ hội phát triển tốt hơn cả về thể chất và trí tuệ.
Không khí Tết rộn ràng ở làng bánh chưng truyền thống Tranh Khúc
(VietQ.vn) - Vào những ngày cận Tết cuối năm, làng nghề gói bánh chưng truyền thống Tranh Khúc (xã Duyên Hà, Thanh Trì, Hà Nội) trở nên tấp nập, bận rộn để cung cấp cho thị trường Tết.
Mang ‘Xuân yêu thương’ đến với đồng bào khó khăn vùng cao Hà Giang
(VietQ.vn) - Sáng nay (18/01), đoàn Trung tâm Thông tin - Truyền thông TCĐLCL, Chất lượng Việt Nam Online (VietQ.vn) cùng đại diện các doanh nghiệp hỗ trợ đã khởi hành tới Hà Giang, hướng về người dân bản nghèo thuộc xã Yên Định, huyện Bắc Mê.
Gia Lai và hành trình đưa du lịch trở thành mũi nhọn kinh tế
(VietQ.vn) - Để khắc phục những trở ngại và từng bước khẳng định vị thế của mình trên bản đồ du lịch Việt Nam, Gia Lai đã đẩy mạnh liên kết với các địa phương khác, tạo chính sách ưu đãi thu hút doanh nghiệp đầu tư vào lĩnh vực du lịch.
Tập đoàn FLC tặng xe sang tri ân khách hàng cuối năm
(VietQ.vn) - Kết thúc năm 2019, sự kiện tri ân “Mua biệt thự, rước xe sang” dành cho các khách hàng mua sản phẩm tại dự án FLC Halong Bay Golf Club & Luxury Resort (FLC Hạ Long) đã diễn ra sôi nổi tại Trung tâm hội nghị quốc tế FLC Hạ Long.
Đậm đà phong vị Tết Việt tại chuỗi quần thể FLC Hotels & Resorts từ Bắc vào Nam
(VietQ.vn) - Đến với các khu nghỉ dưỡng mang thương hiệu FLC dịp Tết Nguyên đán năm nay, du khách không chỉ được tận hưởng một kỳ nghỉ tuyệt vời cùng hệ tiện ích đẳng cấp và dịch vụ tiêu chuẩn 5 sao, mà còn được trải nghiệm nhiều điều thú vị.
Khám phá quần thể tâm linh Núi Bà Đen nổi tiếng bậc nhất Tây Ninh
(VietQ.vn) - Chẳng phải ngẫu nhiên mà đỉnh Núi Bà Đen (Tây Ninh) trở thành điểm đến tâm linh nổi tiếng bậc nhất vùng Đông Nam bộ.
Hãng hàng không mở thêm đường bay kết nối Cần Thơ trước thềm Tết nguyên đán 2020
(VietQ.vn) - Cần Thơ đang được xây dựng trở thành đầu mối kết nối du lịch Đồng bằng Sông Cửu Long với các tỉnh, thành trọng điểm trên cả nước...
Phải cắt bỏ tay sau khi bị giật điện do cắm sạc máy tính xách tay
(VietQ.vn) - Một phụ nữ đã bị giật điện sau khi cắm sạc máy tính xách tay, gây ra nhiễm trùng huyết và buộc phải loại bỏ phần tay mất chức năng hoạt động.
Đi lễ đầu năm tại miền Nam, không thể bỏ qua các điểm đến tâm linh này
(VietQ.vn) - Du xuân, đi lễ chùa bái Phật hoặc tìm đến các điểm đến tâm linh mỗi dịp Tết đến xuân về vốn đã thành truyền thống. Đi về phía nam, du khách hành hương chắc chắn không muốn bỏ qua những điểm đến linh thiêng dưới này.
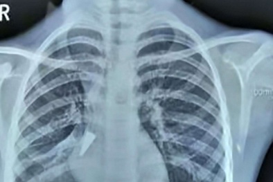
Bé gái vô tình nuốt nắp bút kim loại bị mắc vào phổi
(VietQ.vn) - Phụ huynh không nên coi thường sự nguy hiểm khi trẻ nhỏ nuốt phải các vật thể, do nó có thể thâm nhập sâu vào nội tạng, gây nguy hiểm.
Sữa chua thuần chay đang được ưa chuộng vẫn có thể chứa rất nhiều đường
(VietQ.vn) - Các nhà nghiên cứu chỉ ra món tráng miệng thuần chay, không sử dụng sữa, vẫn có thể chứa rất nhiều đường hơn cả các sản phẩm truyền thống.
Mách bạn những cách di chuyển lý tưởng nhất từ TP. HCM đến Phú Quốc
(VietQ.vn) - Phú Quốc ngày càng hấp dẫn nhiều khách du lịch với cảnh đẹp thiên nhiên hoang sơ nhưng không kém phần thơ mộng. Phương tiện tới đây cũng ngày càng đa đạng, đáp ứng nhu cầu khác nhau của du khách.
423 trường và nhóm trẻ tại Đà Nẵng đang thụ hưởng chương trình sữa học đường
(VietQ.vn) - Vừa qua, Sở Giáo dục và Đào tạo (GD và ĐT) Đà Nẵng đã tổ chức Hội nghị Sơ kết 02 năm thực hiện Đề án Sữa học đường (SHĐ). Chương trình có sự tham dự của gần 500 đại biểu các Sở, ban ngành, hiệu trưởng trường mầm non, các trung tâm bảo trợ xã hội, các cơ sở giáo dục đặc biệt, chủ nhóm trẻ, lớp mẫu giáo độc lập trên toàn thành phố Đà Nẵng.
Nguy cơ nhiễm trùng nghiêm trọng khi cố gắng lấy thức ăn sót lại ở răng
(VietQ.vn) - Một người đàn ông đã phải phẫu thuật hở tim do bị nhiễm trùng sau khi cố gắng lấy bỏng ngô mắc kẹt trong răng, khiến lợi bị tổn thương, mở đường cho vi khuẩn.
Vinamilk tài trợ 1,4 tỷ đồng để mổ tim cho trẻ em có hoàn cảnh khó khăn
(VietQ.vn) - Tại Hà Nội mới đây đã diễn ra Hội nghị sơ kết lần thứ 1 của chương trình hợp tác, trao đổi y tế giữa Bệnh viện tim Hà Nội và tổ chức MD1World. Tại Hội nghị sơ kết này, Công ty Cổ phần sữa Việt Nam (Vinamilk), đơn vị đã đồng hành cùng chương trình từ khi bắt đầu dự án vào năm 2018 đã tiếp tục hỗ trợ kinh phí cho chương trình, góp phần đem lại một cuộc sống khỏe mạnh hơn cho những bệnh nhi tim mạch có hoàn cảnh khó khăn.
Bí kíp sở hữu những chuyến du lịch Tết sang chảnh với chi phí tối ưu
(VietQ.vn) - Đã dần quen thuộc với các gia đình Việt, những chuyến du lịch Tết giờ đây không chỉ là kỳ nghỉ thuần túy mà còn là món quà ý nghĩa của con cháu dành tặng bậc sinh thành. Thế nhưng khi nhu cầu tăng cao, liệu các gia đình có thể yên tâm tận hưởng kỳ nghỉ thảnh thơi với chi phí không “cắt cổ”?









