Trang chủ
Thu hồi trên toàn quốc lô thuốc trị thoái hóa khớp không đạt chất lượng
(VietQ.vn) - Cục Quản lý Dược (Bộ Y tế) vừa ban hành quyết định thu hồi trên toàn quốc lô thuốc viên nang cứng Diacerin 50 (Diacerein 50mg) do không đạt tiêu chuẩn chất lượng về chỉ tiêu hàm lượng nước.
-
Chuyên gia cảnh báo nguy cơ đột quỵ do hút shisha
Ấn Độ kết luận sơ bộ điều tra tự vệ với thép cán phẳng hợp kim và không hợp kim nhập khẩu
Philippines ban hành kết luận sơ bộ điều tra tự vệ đối với sản phẩm xi măng
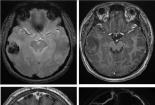
Hệ lụy khi lạm dụng điện thoại có thể gây rối loạn giấc ngủ
Nghiên cứu từ Mỹ đã tạo ra 'siêu vắc-xin' có thể chống lại một số loại ung thư
Cần nhiều giải pháp đồng bộ để ngăn chặn hàng giả trên thương mại điện tử
Thu hồi ngũ cốc Chocolate Crunch Granola do nguy cơ nhiễm côn trùng
-
Đại hội XIV của Đảng thành công – Khởi đầu một kỷ nguyên phát triển mới của đất nước
-
'Bộ ba động lực đưa Việt Nam bứt phá'
Tin mới 24h
Việt Nam đối mặt với những thách thức nghiêm trọng về an ninh mạng
(VietQ.vn) - Theo các chuyên gia, sự gia tăng của các thiết bị IoT và hệ sinh thái blockchain sẽ khiến tin tặc tập trung vào các thiết bị bảo mật kém và nền tảng giao dịch tiền mã hóa, làm gia tăng rủi ro tài chính và mất mát dữ liệu cho các tổ chức.
Giải mã làn sóng đầu tư đang dồn dập đổ về Đại đô thị Expo đầu tiên của Việt Nam
(VietQ.vn) - Hội tụ những lợi thế đắt giá của Đại đô thị Expo đầu tiên tại Việt Nam, lại được hưởng lợi từ sự chuyển mình mạnh mẽ của thị trường BĐS cùng sự phát triển thần tốc hạ tầng của khu vực, Vinhomes Global Gate được xem là điểm đến đầu tư tiềm năng nhất của Thủ đô với khả năng đột phá giá trị trong năm 2025.
Sử dụng các công cụ nâng cao năng suất là cần thiết cho nền kinh tế phát triển bền vững
(VietQ.vn) - Năng suất là chìa khóa để duy trì khả năng cạnh tranh ở cả cấp độ tổ chức và quốc gia, đồng thời, đảm bảo sự phát triển bền vững kinh tế xã hội. Các công cụ, kỹ thuật, phương pháp và thực tiễn khác nhau về nâng cao năng suất đã được phát triển và áp dụng qua nhiều năm trong sản xuất và tiêu thụ hàng hóa, dịch vụ là điều cần thiết của các nền kinh tế.
Hộp nhựa Polypropylene xuất khẩu bị đề nghị điều tra chống bán phá giá tại Mỹ
(VietQ.vn) - Theo tin từ Cục Phòng vệ thương mại, Bộ Thương mại Mỹ (DOC) đã nhận hồ sơ yêu cầu điều tra chống bán phá giá (CBPG) đối với hộp nhựa Polypropylene (mã HS 3923.10.9000) nhập khẩu Việt Nam và điều tra CBPG, chống trợ cấp với cùng sản phẩm từ Trung Quốc.
Thái Lan tiêu thụ cá tra Việt Nam đứng thứ 2 khu vực châu Á
(VietQ.vn) - Số liệu của Hải quan Việt Nam cho thấy, nửa đầu tháng 2/2025, xuất khẩu cá tra sang Thái Lan đạt hơn 3 triệu USD, tăng 280% so với cùng kỳ năm ngoái. Lũy kế xuất khẩu cá tra sang thị trường này tính đến ngày 15/2/2025 đạt 9 triệu USD, tăng 24% so với cùng kỳ năm 2025.
Thái Lan yêu cầu thông tin chính xác hơn về nhãn thực phẩm
(VietQ.vn) - Thái Lan vừa thông báo dự thảo về việc sửa đổi quy định liên quan đến nhãn dinh dưỡng và hướng dẫn về lượng hàng ngày (GDA) trên các sản phẩm thực phẩm.
Công ty Island Oak Việt Nam hoạt động không có giấy phép môi trường
(VietQ.vn) - UBND huyện Thủ Thừa, tỉnh Long An đã ban hành quyết định xử phạt 65 triệu đồng và đình chỉ hoạt động đối với Công ty TNHH MTV Island Oak Việt Nam do hoạt động nhưng vẫn chưa có giấy phép môi trường theo quy định.
Gần 13,4 tấn xúc xích bò Chomps bị thu hồi tại Mỹ do phát hiện lẫn kim loại
(VietQ.vn) - Bộ Nông nghiệp Hoa Kỳ (USDA) vừa ra thông báo thu hồi khoảng 29.541 pound (gần 13,4 tấn) xúc xích bò thương hiệu Chomps sau khi phát hiện sản phẩm có lẫn kim loại.
.









